HOME > インプラント
インプラントとは、人工歯根ともいい、自分の歯を失った場所に、人工の歯根を埋め込み、見た目と機能を元の歯に近い状態にする治療方法のことです。

インプラント治療では、歯が抜けた場所に人工歯根(インプラント体)を埋め込み、その上に人工の歯を取りつけます。
インプラント治療の成功の鍵は、最初の診査・診断、治療計画にあります。
熊谷歯科医院ではインプラント専門の医師と連携し治療を行っておりますので、安心してご相談ください。
失った歯の本数が少なければ、ブリッジや部分入れ歯など、治療の選択肢は複数あります。
しかし、歯を全部失ってしまった場合は、総義歯(総入れ歯)以外に治療方法はありませんでした。
ただ、歯をすべて失ってしまうと顎が細くなってしまうことが多く、あわない総義歯と付き合っていかざるをえなかったのです。
しかしインプラントの登場により、インプラントを数本打って、その上に総義歯を固定することができるようになりました。
インプラントで固定することにより、総義歯でも物がしっかり噛めるようになったのです。
一口にインプラント治療といっても、さまざまなケースが考えられますが、ここではインプラントを埋め込んで、入れ歯の固定源とするケースについてご紹介します。
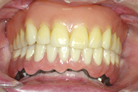
下顎のインプラント治療を行って、再び噛める喜びをとりもどしたAさんのケースです。
<Aさんのケース>

①総入れ歯を固定するためのインプラントを埋め込んだところです。


③噛み合わせを入念に調整しながら入れ歯を作成し、完成した入れ歯を装着したところです。
従来の総入れ歯にはない、しっかりした噛み心地が得られます。
歯の大切さは、歯を失ってはじめて実感します。
多くの患者さんが、インプラントによって状態が改善されてはじめて、実は歯を失ったことで想像以上に生活の質が低下し、喜怒哀楽の感情が奪われていたことに気づかれます。
インプラントは画期的な治療法ではありますが、やはり生涯自分の歯で噛むことができればそれに勝るものはありません。
どんなに裕福な方でも、一度失った自分の歯を再び手に入れることはできません。誰もが、歯を失わないように、大切にするしかないのです。
皆さんがご自分の歯を失う前に「歯の大切さ」を知り、その気持ちをずっと持ち続けられるようになったら……と心から願っています。