HOME > 歯科技工士との連携

熊谷歯科医院では、よりフィットし、審美性の高い詰め物・被せ物をつくるため、信頼できる歯科技工士と連携して、治療にあたっています。
とくに審美性の高さが要求される前歯の治療などの場合は、色や形の微調整の段階で、歯科衛生士が同席し、歯科医師と意見を交換しながら、詰め物・被せ物をつくりあげていきます。
前歯に白い被せ物をすることになった方を例に、歯科技工士との連携を大切にした当院の審美歯科治療をご覧いただきましょう。

治療前
右上2番目の前歯が虫歯で、プラスチックで充填していますが、歯の神経がなく、どうしても治療後が目立ってしまっています。

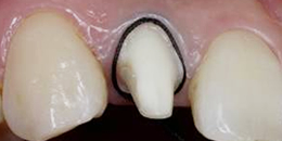
型取1

型取2
歯肉が歯にくっついた状態では、歯の型をとる材料が奥まで流れ込まず、境目のあいまいな型で被せ物になってしまうため、当院では、被せ物をつくる際、太さの違う2種類の糸を歯のまわりにまいて(写真:型取1)、削ったところがしっかりと見えるようにして型をとります。

型に加え、歯の色見本(シェードガイド)をあわせた口腔内写真を撮影して、歯科技工ラボに送ります。

患者さんのご要望やご自分の歯に対するイメージもうかがいながら、歯科医師と歯科技工士のあいだでディスカッションして形の方向性を決めていきます。
型にあわせて作成した焼く前の歯のベースをはめてみて、きちんとフィットするか、被せ物の厚みに問題はないか、他の歯とのバランスはいいかといった点もチェックします。


歯の上部と根元それぞれ、どの色をベースにどの色をまぜていくのか、光の具合を調整したり、乾燥して実際よりも白っぽく見えないように歯の表面を濡らしたりしながら決定して、記録します。

色調整に使う見本一色

デッサン(歯科技工士:渡辺登夫氏/歯科技工ラボB.C.S.)
1本の歯を細かくパーツに分けて、具体的に色見本の番号を書き込んでいきます。
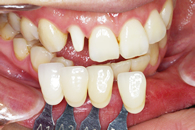
技工ラボから出来上がった被せ物が届いて、いよいよお口の中に入れます。
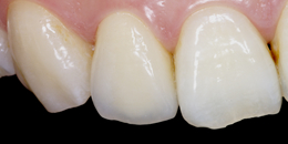
下の写真を見て、どの歯が被せ物かわかりますか?
当院では治療後、誰も被せ物を入れたことに気づいてくれないぐらい美しく自然な被せ物をめざしています。


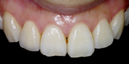
【治療前】

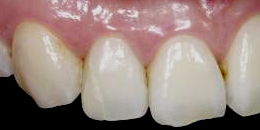
【治療後】
完成した被せ物は色合いだけでなく、光の反射も計算に入れて表面の細かい溝まで再現されています。

【治療前】
プラスチックが充填され神経がない状態

【治療中】
被せ物のために歯を削る

【治療中】
正確な歯型をとるため糸を巻く

【治療後】
被せ物が入った状態
多くの場合、歯科技工ラボから仕上がったままで、形・色ともに問題なく、その日のうちに接着してしまいますが、審美性にこだわられる場合は、別途料金がかかりますが、歯科技工士さん立ち会いのもと、何度も調整を行うことができます。
また、必要な場合は、再度、歯科技工ラボにて作り直し、ご満足いただける被せ物をご提供する体制を整えています。
形・色ともにご満足いただけた場合も、はずれないように強く接着する前に、次回診療日まで、日常生活で被せ物を使ってみていただき、問題がないかゆっくり確認していただくことが可能です。

歯に着色するための陶材の色、パレット色により、透明感、他の歯とのバランスを考えた着色、シャープなイメージなどを自在に表現できます。
当院では、審美性の高い詰め物・被せ物(技工物)の作成は、主に技工ラボB.C.S.の渡辺登夫さんにお願いしています。渡辺さんは審美歯科の先進国アメリカでの長い歯科技工経験をもち、審美的な技工物を専門とされている歯科技工のプロフェッショナルです。
歯科医師と対等な立場でディスカッションを重ね、形や色、何よりも技工物の透明感や質感を追及する渡辺さんのこだわりが、当院のより長く健康に美しく使っていただける詰め物・被せ物を実現しています。
