HOME > セラミック
歯並びや変色した歯を綺麗にしたい、銀歯を白く替えたい、など、審美的な治療をご希望の方にお薦めなのが「セラミック治療」です。
「セラミック」は白い陶製の素材で、硬く透明感があり、天然の歯と区別がつかないほど美しくきれいに仕上げることができます。
セラミックは保険が適用できませんので自費治療となりますが、特に前歯の場合は、たとえ費用がかかっても自然な美しい歯を得られるメリットの方が優ると考え、セラミックを選ばれる方が圧倒的に多くなっています。
(保険ではプラスチック素材となるため、質感が劣り徐々に変色してきます。)
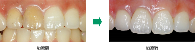
<変色歯をセラミック治療で白く整えた例>

※オールセラミッククラウン(治療費15万円)
セラミックの治療法と素材には様々な種類がありますので、ご希望によりお選びください。
※セラミック治療は自費診療です。
| オールセラミック | メタルボンド セラミック |
ハイブリッド セラミック |
ジルコニアクラウン (奥歯のみ) |
|
| 全てセラミックでできており最も審美性が高い素材。金属アレルギーにも安心。 | 金属で裏打ちをしたセラミックで、耐久性がある。 透明感には欠ける。 |
プラスチックとセラミックを混ぜ合わせた素材。 柔らかく、咬み合う歯を痛めない。 |
全て硬いジルコニアでできて耐久性に優れる。 色調が単調なため奥歯のみに適用。 |
|
| クラウン | 165,000円 (1本) |
137,500円 (1本) |
121,000円 (1本) |
|
| ラミネート べニア |
110,000円 (1本) |
|||
| インレー | 88,000円 (1本) |
66,000円 (1本) |
※クラウンは被せ物、冠のことです。
※ラミネートべニアは歯の表面に薄く貼り付ける素材のことです。
※インレーは詰め物のことです。
歯全体に被せる方法です。
歯の周囲を削って小さくし、その上に冠を被せます。
虫歯治療で歯を削った後にも使用しますが、歯の形や歯並びを整える審美目的で使用するケースも多くなっています。
<セラミッククラウンで歯並びを整えた例>


歯の表面だけを削り、薄い板状のセラミックを貼りつける方法です。
歯の色の改善や、多少の歯並び、歯と歯のすき間を整える際に使用します。
クラウンよりも歯を削る量が少なくすみます。
虫歯などで削った歯の穴の部分に詰める詰め物です。
以前は奥歯には金属のインレーを使用していましたが、奥歯も白く綺麗にしたいという方にはセラミックのインレーがお勧めです。
<銀のインレーとクラウンをセラミックに替えた例>

すべてセラミックでできた素材です。
透明感のある自然な美しさが特徴で、硬く耐久性にも優れます。
金属を使用していませんので、金属アレルギーの心配のある方も安心して使用できます。
金属で裏打ちをしたセラミックです。
金属を使用しているので丈夫で割れにくく、ブリッジなどにも適します。
ただし透明感ではオールセラミックより劣り、特に前歯の外光の下では違いがあります。
また、長く使用する間に、加齢により歯肉が痩せてきた際、歯肉との境目に金属の黒いラインが出る場合があります。
セラミックとプラスチックを混ぜ合わせた(ハイブリッド)素材です。
オールセラミックより安価になりますが、質感でやや劣ります。
オールセラミックより柔らかいので、咬み合う歯を痛めないというメリットがあります。
セラミックの中でも特に強度の強い「ジルコニア」を100%使用したクラウンで、強度と耐久性に優れるため、強く噛み合う奥歯にも安心して使用できます。
ただし、色調が単調で、周囲の歯との色合わせも困難なため、奥歯のみの適用となります。